0774-20-1111

画像診断

画像診断とは

一般撮影、CT検査、MRI検査、核医学検査(PET検査含む)、超音波検査などがあります。病気の存在を見つける目的(存在診断)だけでなく、病気の進行時期の診断(病期診断)、病気が良性か悪性かの診断(質的診断)、治療範囲の決定のための診断(広がり診断)、転移の有無や場所の検索、治療後の効果判定や再発の診断に行われます。
複数の検査を組み合わせることで、適切な診断が行われます。
がん診療において治療方向性の決定、治療後の評価、再発や転移の確認など、適切な診療につなげる重要な役割を果たしています。

また、がんは早期に発見することが重要と言われています。
がん検診においても様々な画像診断が行われております。
胃がん検診にはバリウム製剤を使用した上部消化管検査、乳がん検診にはマンモグラフィー検査、肺がん検診には胸部X線検査やCT検査、全身のがん検診にはPET-CT検査などが行われています。最近ではMRI検査による乳がん検診も行われています。



担当する医師

CT検査

CT検査はがん診療において様々な用途で行われます。
肺がんはCT検査で存在診断が可能です。肝がんなどは造影剤を使用することで病気内の血行動態を知ることができ質的診断が可能です。
また、病気周囲の血管の走行を知ることもできるため、手術の安全性を確認することができます。CT検査は短時間で広範囲に検査することができます。



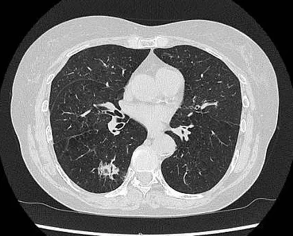
胸部単純CT検査画像 胸部単純CT検査画像

胸部単純CT検査画像(右肺がん)



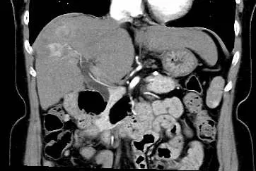
肝臓造影CT検査画像 肝臓造影CT検査画像

肝臓造影CT検査画像(大腸がん肝臓転移)



腎臓造影CT検査 3D画像
腎臓造影CT検査 3D画像

MRI検査

MR検査はがん診療において、CT検査と比較してより詳細な検査が可能です。
各臓器において浸潤範囲を描出することができ、治療範囲の決定のための広がり診断をすることができます。MRI検査は検査時間が長く、撮像できる範囲に制限があります。
MRI検査では造影剤が使用されます。



乳房造影MRI検査画像
乳房造影MRI検査画像
マンモグラフィー画像
マンモグラフィー画像


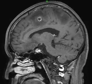
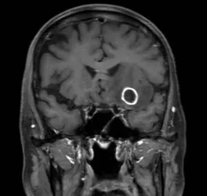
頭部造影MRI検査画像 頭部造影MRI検査画像 頭部造影MRI検査画像

頭部造影MRI検査画像(肺がん脳転移)

核医学検査

核医学検査は放射性同位元素を用いた画像検査です。がん診療においては転移箇所の検索に行われます。骨シンチグラフィ検査は、骨の代謝を画像化することができ、骨への転移を比較的早期に見つけることができます。



骨シンチグラフィの画像
骨シンチグラフィ(乳癌全身骨転移)

PET-CT検査

PET-CT検査は、病気の存在を見つける存在診断と広がり診断、病気の進行時期の診断、病気が良性か悪性かの診断、全身への転移を調べることのできる検査です。治療効果の判定、再発の確認もできます。体内でのブドウ糖代謝を利用した検査です。がん細胞は正常な細胞に比べ多くのブドウ糖を取り込みます。ブドウ糖の様に細胞に取り込まれる放射性同位元素を注射し、薬剤の分布を画像化します。
ブドウ糖代謝が活発な臓器(脳、心臓、消化管など)や泌尿器(腎臓、尿管、膀胱、尿路)はPET検査による診断が難しいことがあります。



PET検査の画像
PET検査(右肺がん)
PET-CT検査画像
PET-CT検査画像(右肺がん)


乳房専用PET検査画像
乳房専用PET検査画像(両側乳がん)