診療科の特色
当科では上部消化管(食道・胃・十二指腸)、下部消化管(小腸・大腸)、肝・胆・膵と多岐にわたる消化器疾患を対象に、救急総合診療科、肝臓内科、腫瘍内科、緩和ケア内科の内科系部門と放射線科、消化管外科・肝胆膵外科と密接に連携し、高度かつ迅速な診断・治療体制を整えています。
最新の超音波・内視鏡機器に加え、CT、MRI、PET-CTなどの先進的な画像診断装置を備え、各医師が専門性を生かして診療にあたっています。
診療内容・方針
消化管(食道・胃・十二指腸・小腸・大腸)領域
消化管疾患全般(炎症性疾患、潰瘍、ポリープ、腫瘍性病変、出血性疾患など)に対し、通常内視鏡検査による診断から内科治療、内視鏡治療、外科との連携による手術治療まで、病態に応じた最適な治療を包括的に提供しています。
また、当科では高度な内視鏡技術を活用し、精度の高い診断と低侵襲治療を積極的に推進しています。
診療の特徴
- NBI などを用いた高精度観察による早期がんの診断
- EMR・ESD による早期消化管癌の低侵襲治療
- 咽頭・十二指腸・大腸を含む高難度 ESD に対応
- 粘膜下腫瘍に対する LECS(腹腔鏡・内視鏡合同手術)
- 進行大腸がんイレウスに対する ステント治療(Bridge to Surgery)
- 進行癌に伴う通過障害に対する 消化管ステントによる緩和治療
- カプセル内視鏡及びダブルバルーン小腸内視鏡検査
早期胃癌(SM浸潤がん)ESD
早期大腸癌(LST-G)ESD
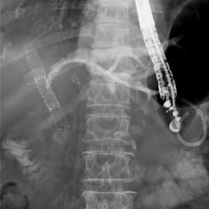
胆膵(胆道・膵臓)領域
胆道結石、胆管炎、膵炎、嚢胞性疾患、腫瘍性病変など、急性疾患から慢性疾患・悪性疾患まで、胆膵領域全般に幅広く対応しています。
超音波・CT・MRCPなどを用いた初期診断の迅速化と、ERCP・EUS を中心とした高度内視鏡診断・治療を組み合わせ、専門性の高い一貫した医療を提供しています。
診療の特徴
- ERCP・EUS による胆道・膵疾患の精密診断
- 胆管結石・胆管炎・胆嚢炎に対する迅速かつ確実な内視鏡治療
- 閉塞性黄疸・膵疾患に対するドレナージ治療
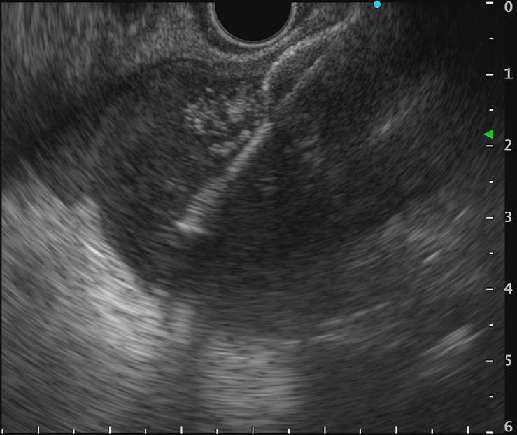
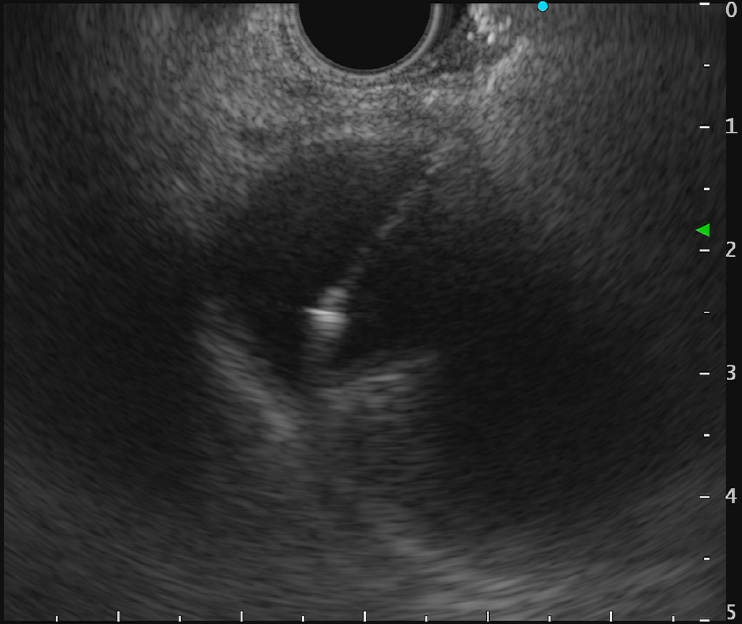
- POCS/POPS(胆道・膵管鏡)による管腔内検査・治療
- 術後再建腸管に対する DB-ERCP検査
- EUS-FNA による高精度な病理診断
- 膵嚢胞・腹腔内膿瘍に対するEUS-TD、胆道閉塞に対する EUS-BDなどの高度治療
- LAMSを用いた急性胆囊炎やWONの治療、内視鏡的ネクロゼクトミー
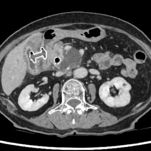
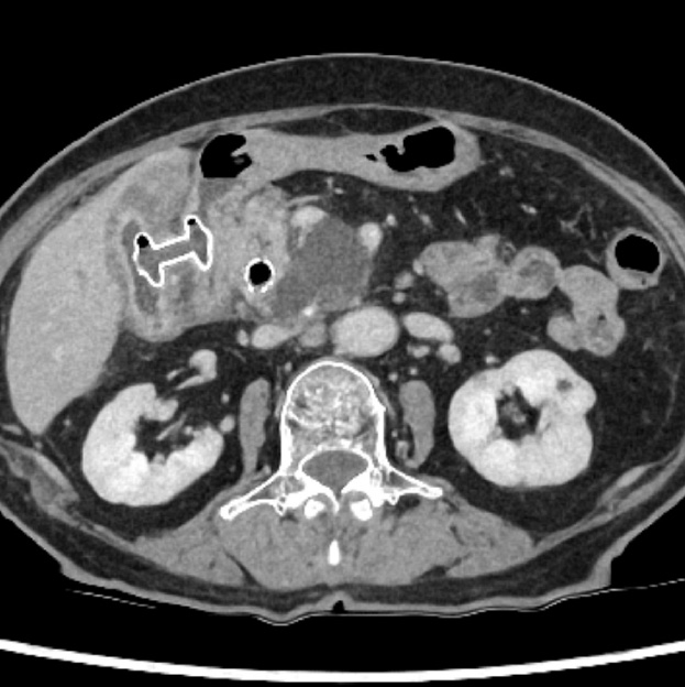
重症急性膵炎後のWONに対するEUS下膿瘍ドレナージ
肝門部胆管癌に対するEUS下胆道ドレナージ
急性胆嚢炎に対するEUS下胆嚢ドレナージ(LAMS留置)
地域医療連携
当院は地域の基幹病院として、クリニック・病院間の円滑な連携を重視しています。医療講演等を通して、消化器疾患の診断・治療についてわかりやすい情報提供を行い、地域全体の医療水準向上に努めています。
今後もスタッフ一同、安全で質の高い医療を地域の皆様へ提供してまいります。
診療実績
| 手技(重複あり) | 2023年 | 2024年 | 2025年 | |
|---|---|---|---|---|
| 上部内視鏡検査 | 7,283 | 8,088 | 8,320 | |
| 下部内視鏡検査 | 2,892 | 3,056 | 3,124 | |
| 内視鏡的ポリープ切除術(ポリペクトミー)、粘膜切除術(EMR) | 1,062 | 1,202 | 1,115 | |
| (内訳) | ポリペクトミー(上部・下部) | 861 | 941 | 874 |
| EMR(上部) | 7 | 6 | 9 | |
| EMR(下部) | 194 | 255 | 232 | |
| 内視鏡的消化管早期悪性腫瘍粘膜下層剥離術(ESD) | 120 | 120 | 134 | |
| (内訳) | 食道 | 7 | 9 | 11 |
| 胃 | 53 | 63 | 68 | |
| 十二指腸 | 5 | 2 | 2 | |
| 大腸 | 55 | 46 | 53 | |
| 経口内視鏡的筋層切開術(POEM) | 0 | 0 | 0 | |
| 腹腔鏡内視鏡合同胃局所切除術(LECS) | 0 | 0 | 3 | |
| 内視鏡的消化管止血術 | 164 | 195 | 227 | |
| (内訳) | 上部 | 82 | 128 | 160 |
| 下部 | 82 | 67 | 67 | |
| 内視鏡的食道静脈瘤結紮術(EVL) | 16 | 24 | 20 | |
| 内視鏡的食道・胃静脈瘤硬化療法(EIS) | 2 | 0 | 0 | |
| 内視鏡的消化管バルーン拡張術(EBD) | 38 | 33 | 37 | |
| 内視鏡的消化管異物除去術 | 28 | 34 | 39 | |
| 内視鏡的消化管ステント留置術 | 50 | 40 | 49 | |
| (内訳) | 食道 | 5 | 3 | 3 |
| 胃・十二指腸 | 11 | 12 | 13 | |
| 大腸 | 34 | 25 | 33 | |
| 胃瘻関連処置 | 108 | 91 | 107 | |
| (内訳) | 経皮内視鏡的胃瘻造設術(PEG造設) | 64 | 52 | 61 |
| 胃瘻交換術 | 44 | 39 | 46 | |
| 内視鏡的逆行性胆膵管造影(ERCP) | 348 | 323 | 327 | |
| (内訳) | 小腸内視鏡下ERCP(DB-ERCP) | 6 | 14 | 14 |
| 内視鏡的乳頭括約筋切開術(EST) | 171 | 172 | 189 | |
| 内視鏡的胆管結石除去術 | 154 | 125 | 120 | |
| 内視鏡的胆管ドレナージ術(ERBD、ENBD、ENGBD) | 140 | 102 | 125 | |
| 内視鏡的胆管ステント留置術 | 19 | 30 | 42 | |
| 内視鏡的膵管ステント留置術 | 15 | 10 | 6 | |
| 胆道鏡検査(POCS) | 0 | 4 | 5 | |
| 膵管鏡検査(POPS) | 0 | 0 | 1 | |
| 超音波内視鏡検査(EUS) | 272 | 320 | 420 | |
| (内訳) | 超音波内視鏡下穿刺吸引法(EUS-FNA) | 59 | 81 | 81 |
| 超音波内視鏡下嚢胞ドレナージ術関連 | 3 | 10 | 21 | |
| 超音波内視鏡下胆道ドレナージ術関連 | 6 | 12 | 20 | |
| 経皮経肝胆嚢ドレナージ術(PTCD) | 2 | 8 | 3 | |
| 経皮経肝胆嚢ドレナージ術(PTGBD)、穿刺吸引術(PTGBA) | 4 | 3 | 11 | |
| 経皮経肝膿瘍ドレナージ術(PTAD) | 14 | 7 | 7 | |
| カプセル内視鏡検査 | 1 | 3 | 5 | |
| 小腸ダブルバルーン内視鏡検査 | 2 | 6 | 12 | |
| 内視鏡的イレウス管留置術 | 17 | 27 | 33 | |
| (内訳) | 上部 | 13 | 25 | 30 |
| 下部 | 4 | 2 | 3 | |
| 超音波下肝生検(肝腫瘍生検含む) | 14 | 13 | 2 | |
| ラジオ波焼灼療法(RFA) | 0 | 1 | 0 | |
医師紹介
| 氏名 | 役職 | 専門医・認定医・その他講習修了 |
|---|---|---|
| 古志谷 達也 | 診療科長 | 医学博士 日本内科学会 認定内科医 日本消化器内視鏡学会 専門医・指導医 日本消化器病学会 専門医・指導医 日本胆道学会 認定指導医 日本膵臓学会 認定指導医 日本消化管学会 専門医・指導医 日本消化器がん検診学会 総合認定医 日本消化器内視鏡学会 近畿支部評議員・学術評議員 日本消化器病学会 近畿支部評議員 厚生労働省 臨床研修指導医 |
| 竹本 隆博 | 部長 | 日本内科学会 認定内科医 日本消化器内視鏡学会 消化器内視鏡専門医 日本消化器病学会 消化器病専門医 PEG・在宅医療研究会 嚥下機能評価研修修了 厚生労働省 臨床研修指導医 緩和ケア研修会 修了 |
| 滝原 浩守 | 部長 消化器内視鏡センター長 | 日本内科学会 認定内科医 日本内科学会 総合内科専門医 日本消化器内視鏡学会 専門医・指導医 日本消化器病学会 専門医 Hot AXIOS System 講習プログラム 受講修了 厚生労働省 臨床研修指導医 |
| 山西 正芳 | 救急総合診療科 部長 | 日本内科学会 認定内科医 日本内科学会 総合内科専門医 日本消化器病 学会消化器病専門医 日本救急医学会 救急科専門医 |
| 横村 明高 | 医長 | 日本内科学会 認定内科医 日本内科学会 総合内科専門医 日本消化器病学会 専門医 日本内視鏡学会 専門医 日本がん治療認定医機構 がん治療認定医 日本肝臓学会 専門医 日本消化器管学会 専門医 日本消化器学会 胃腸科専門医 厚生労働省 臨床研修指導医 |
| 碓井 太雄 | 救急総合診療科 副部長 | 日本内科学会 認定内科医 日本内科学会 総合内科専門医 日本救急医学会 救急科専門医 日本消化器病学会 消化器病専門医 日本/京都DMAT隊員 厚生労働省 臨床研修指導医 緩和ケア研修会 修了 |
| 楠野 颯樹 | 医員 | 日本内科学会 内科専門医 日本消化器病学会 専門医 日本肝臓学会 専門医 緩和ケア研修会 修了 |
| 嘉祥 敬宇 | 医員 | |
| 橋爪 慎介 | 医員 | |
| 高田 潤音 | 医員 | 内科専門研修プログラム 専攻医 |
| 鳥居 惠雄 | 非常勤 | 日本消化器病学会 消化器病専門医・指導医 日本消化器病学会 本部評議員 日本消化器内視鏡学会 専門医・指導医 日本消化器内視鏡学会 社団評議員 日本内科学会 認定医 |
| 玉置 将司 | 非常勤 | 内科学会総合内科専門医 消化器病学会専門医 消化器内視鏡学会専門医 |
| 門坂 薫平 | 非常勤 | かどさか内科クリニック 院長 |
| 澤田 賢治 | 非常勤 | 京都大学派遣 |
| 犬塚 義 | 非常勤 | 京都大学派遣 |
| 髙島 満里子 | 非常勤 | 日本内科学会認定内科医 日本消化器病学会専門医 日本消化器内視鏡学会専門医 |
| 山田 敦 | 非常勤 | 京都大学派遣 内科学会総合内科専門医 消化器内視鏡学会専門医 消化器病学会専門医 遺伝性腫瘍専門医 |
| 木戸口 勇気 | 非常勤 | 日本外科学会外科専門医 日本消化器外科学会消化器外科専門医 日本消化器病学会消化器病専門医 日本消化器内視鏡学会消化器内視鏡専門医 日本消化器外科学会消化器がん外科治療認定医 日本腹部救急医学会腹部救急認定医 日本がん治療認定医機構がん治療認定医 |



















